Smile Gallery

Real Smiles, Real Confidence

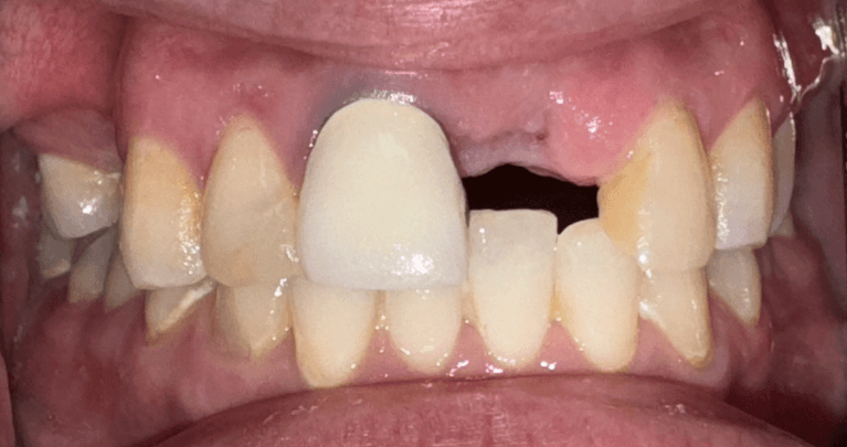
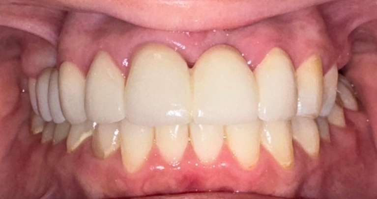
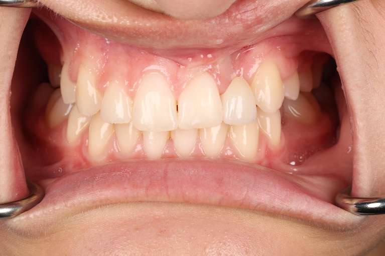
Explore the life-changing transformations of our patients right here in Madison, Alabama. From subtle enhancements to full restorative makeovers, our transformations showcase how personalized care and modern artistry come together to help you smile with total confidence again.

Dr. Grant Talbert and our expert clinical team utilize the latest dental technology—including Digital Smile Design and 3D-printed mockups—to ensure every transformation is as functional as it is beautiful. Whether you are looking for a subtle enhancement or a full smile makeover, our gallery provides a transparent look at the high standard of care we provide.

Explore Our Specialized Dental Treatments

  • Porcelain Veneers: Correcting chips, gaps, and misshapen teeth for a symmetrical, radiant look.
  • Internal Bleaching: Restoring brightness to single teeth darkened by trauma or root canals.
  • Conservative Onlays and Inlays: Durable, tooth-colored alternatives to silver fillings.
  • KöR Teeth Whitening: Lifting deep stains for a dramatically brighter smile.
  • Restorative Bridges and Crowns: Seamlessly replacing missing or damaged teeth.

Browse our smile transformations below to see how we combine artistry with dental science to create healthy, natural-looking smiles for the Madison community.

Still need an appointment?
Appointments are always on time.

Appointments are always on time. My hygienist was thorough and professional. Dr Talbert checked her work as well as my teeth. Advised me of future problems that may develop with my old fillings and what to look for. The office itself is clean and modern.
-Alan