Skip to main content
Talbert Family Dentistry
Dr. Grant Talbert
Talbert Family Dentistry
Dr. Grant Talbert
Book Online
Like us on Facebook
Leave a Google Review
Instagram
Follow us on TikTok
(256) 542-1969
Talbert Family Dentistry
Home
About
Our Team
Dr. Grant Talbert
Technology
Practice Photos
Services
View All
General Dentistry
Cosmetic Dentistry
Full Smile Makeovers
Veneers
BOTOX® Aesthetics and TMJ
TMJ/Bruxism Treatment
KöR Teeth Whitening
Dental Crowns
Inlays and Onlays
Invisalign® Clear Aligners
Smile Gallery
Testimonials
Patient Info
View Patient Info
Financial
FAQs
Blog
Contact
Talbert Family Dentistry
>
Smile Gallery
>
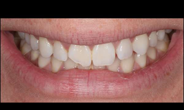
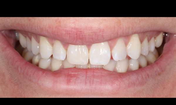
Fixed Chipped Tooth with Veneers
Fixed Chipped Tooth with Veneers
Return to Smile Gallery
Previous
Next
Drag the arrows back and forth to view complete Before and After views
Not finding what you need?
Contact Us
OK!
×
×
Contact Us Today
Give Us A Call
Talbert Family Dentistry -
(256) 542-1969
Send Us an Email
Book Online
Contact Us
Ready to Schedule an Appointment?
Book Online
Have Questions? Contact Us:
Required Field
Your Name:
Phone:
Email:
Are you a new patient?:
Are you a?
New Patient
Current Patient
How would you like us to contact you?
Please choose
Email
Call
How did you hear about us?
Please choose
I'm an existing patient
Google/Bing
Mailer
Word of mouth
Social media
Other
Who Referred You?:
Appointment Preferences
Monday
Tuesday
Wednesday
Thursday
Your Message:
This site is protected by reCAPTCHA and the Google
Privacy Policy
and
Terms of Service
apply.
Sending...
×
This Patient's Experience
Loading Testimonial...
Loading Case...